Public Health | Mar 24, 2025
Challenges Faced by Patients After Bariatric Surgery: A Qualitative Study in Swat, KPK, Pakistan
Background: Patients with severe obesity benefit greatly from bariatric surgery because it helps them lose weight and manage obesity-related medical...Read More
Dentistry | Mar 21, 2025
Awareness and Knowledge of Dental Implant Treatment Among Undergraduate Dental Students at Gulf Medical University, Ajman: A Cross-Sectional Study
Background: Dental implantology has revolutionized modern dentistry by offering effective and convenient solutions for missing teeth. The growing prevalence of...Read More
Public Health | Mar 18, 2025
The Effect of Work-Life Balance Programs on Burnout Levels and Professional Performance Among Nurses a Mixed-Method Study at Saidu Teaching Hospital Swat, Pakistan
Background: Work-life balance (WLB) plays a crucial role in preventing burnout and enhancing professional performance among nurses. Burnout, characterized by...Read More
Public Health | Mar 17, 2025
Nurses’ Experiences with Ethical Dilemmas in Critical Care Settings: A Mixed-Method Study at Saidu Teaching Hospital
Background: Critical care nurses (CCNs) routinely experience multiple ethical dilemmas that force them to test their ability to make decisions...Read More
Public Health | Mar 12, 2025
Understanding Needle Stick Injuries and Preventive Practices Among Healthcare Professionals at Tertiary Care Hospital Swat, Pakistan
Background: Healthcare workers (HCWs) are at the highest percentage of getting exposed to percutaneous injuries. Those exposures include blood and...Read More
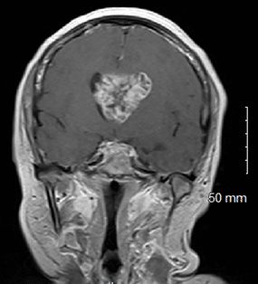
Neurology | Mar 12, 2025
Lateral Intraventricular Glioblastoma Presentation with Increased Survival Rate
Background: Although glioblastoma is the most common malignant primary brain tumor, it rarely presents in the intraventricular region(s) of the...Read More
Emergency Medicine | Mar 12, 2025
Mycobacterium Avium Complex Infection Presentation with Rare Fungal Hyphae Diagnosed After Routine Preventive Screening
Background: This case report highlights a rare but serious presentation of mycobacterium avium complex (MAC) in conjunction with a rare...Read More
Public Health | Mar 12, 2025
Health Disparities and COVID-19: A Commentary
An ideas and opinions piece in the Annals of Internal Medicine highlighted the health disparities exacerbated by coronavirus disease-19 (COVID-19)....Read More
Systematic Literature Review | Mar 11, 2025
Promising Strategies and Practices to Promote Adolescent Mothers’ Health-Seeking Behaviour and Utilization of Maternal Healthcare Services in Nigeria
Background: Adolescent pregnancy and childbirth are serious social and public health concerns that have a negative impact on maternal health....Read More
Public Health | Mar 11, 2025
The Assessment of the Accessibility of Diagnostic Tests and Associated Factors in Public Health Facilities in Hawassa, Ethiopia
Background: Access to diagnostic tests in resource-constrained settings is a major hurdle that patients face in their endeavours to receive...Read More









