Author Affiliations
Abstract
Foreign bodies (FBs) are frequently ingested by infants and children, and usually pass spontaneously on their own. The ingestion of magnetic FBs is uncommon, but if they occur, they should be removed as soon as possible to prevent serious gastrointestinal problems. We report on two patients who had surgery after ingesting multiple magnets.
Keywords
Magnet ingestion, Children, Complications, Abdominal radiography, Foreign bodies.
Introduction
Infants and young children instinctively put everything in their mouths. Approximately 80 % of FBs that are swallowed pass through the digestive tract without causing any complications.[1] Round, non-sharp foreign objects are usually permitted to pass naturally if detected below the esophagus. However, several magnetic FBs can cause severe gastrointestinal morbidity and necessitate major surgery if managed conservatively.[2] We describe two cases of accidental magnet consumption; one patient experienced peritonitis, while the other was treated promptly.
Case Reports
Case 1:
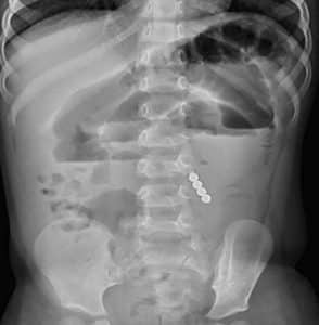
A previously healthy 3-year-old girl was presented to the emergency unit with symptoms of repeated vomiting, sweating, unable to stand, anxiety, and altered consciousness. Upon examination, she was found to be in shock, with a heart rate of 220 beats per minute, respiratory rate of 53 breaths per minute, and blood pressure of 80/44 mmHg. The abdomen was tense and grossly distended, and bowel sounds were absent. An initial abdominal radiography revealed bowel dilatation with multiple air-fluid levels and the presence of four circular radiopaque opacities in the bowel (Figure 1). The patient was admitted to the pediatric intensive care unit for resuscitation and was stabilized through intravenous fluids and ionotropic support. An emergency laparotomy was performed, which revealed a small bowel obstruction with multiple perforations. Approximately 8 inches of small bowel were resected, and end-to-end anastomosis was conducted. During the procedure, four magnetic beads, measuring 4 mm × 4 mm in size, were discovered (Figure 2). Postoperative recovery was uneventful. Retrospective questioning of the parents revealed a suspicious history of magnetic bead ingestion (Figure 3).

Figure 1: Scout abdominal film showing multiple air fluid levels with four circular radiopaque opacities in the bowel, suspicious of FB

Figure 2: Operative photo showing perforation with a magnet in the intestine

Figure 3: Photo of magnetic beads removed from the small bowel
Case 2:
A 4-year-old boy came to the pediatric surgery department 4 hours after accidentally swallowing magnetic beads. The patient showed no symptoms and had stable vital signs. There were no signs of perforation. An initial abdominal X-ray showed six round, radiopaque objects in the upper abdomen. Due to the number of beads ingested and the potential for serious complications, aggressive management was adopted. An emergency upper GI endoscopy found no foreign object up to the second part of the duodenum. The beads had moved further down the small intestine, but there was no migration of magnetic beads for the subsequent 48 hours. A laparoscopy was then performed, revealing a string of six magnetic beads adhered together in the small bowel. An enterotomy was done, and beads were removed. The patient had a stable and smooth postoperative recovery.
Discussion
To date, fewer than 55 cases of multiple magnet ingestion have been reported in the English literature till date.[3] Most affected children are younger than 6 years old. The magnets that are ingested usually come from toys or household electronics, magnetic therapy jewelry beads, or broken pieces from a larger magnet.[4] These magnets are usually ingested on separate occasions, or they become separated as they pass through the pylorus.[5] The number of FBs ingested ranged from 2 to 100, and most of the patients were previously healthy. However, there were delays in diagnosing and treating the patients, to varying degrees. Those who underwent exploratory laparotomy showed a wide range of possible bowel damage, including perforation and intestinal fistula.[6] Most patients require bowel resection with anastomosis or fistula repair, early surgical intervention can help prevent significant morbidity and mortality.[7]
The presentations and outcomes of these two children who ingested multiple magnetic beads were very different. In the first case, the child’s ingestion went unnoticed, resulting in a delayed presentation. This led to complications of multiple perforations, which required bowel resection. On the other hand, the second patient was immediately brought to the emergency department after accidentally ingesting multiple magnetic beads. In the first case, an unusual injury occurred because of strong magnetic forces, which caused two different loops of the bowel to stick together during peristalsis. Even though the contact surface between the two beads was minimal, these magnetic forces were powerful enough to cause pressure necrosis of intestinal tissue and hinder gut movement.[6] This hindered peristalsis resulted in twisting, a lack of blood flow, and intestinal obstruction. This is particularly true for neodymium-based high-power magnets.[4] Magnets in the small bowel lumen are attracted to each other through the thin walls and can attach to adjacent loops. This causes ischemia and necrosis in the adjacent bowel, leading to complications such as perforation, bowel fistulization, and others.[6]
It can be challenging to determine whether the FB that has been ingested is metallic or magnetic. As with our cases, it is important to exercise clinical vigilance and recommend early surgical consultation with an aggressive surgical approach. If the magnetic FB is located in the esophagus, stomach, or proximal small bowel, it is necessary to perform an endoscopy to retrieve the object and assess any potential damage.[4] For asymptomatic patients, as in the second case, a conservative approach can be considered when only one magnetic FB has been ingested.[7] However, when two or more magnetic FBs or a single magnet ingested with other metallic objects are present, aggressive management should be considered to prevent complications, if magnet migration is not observed even after 48 to 72 hrs.[8]
Conclusion
Keep high-powered small magnets out of children’s reach, parents and caregivers. It is important to have a high level of suspicion for patients with unexplained gastrointestinal symptoms. Clinicians should be aware of the risks associated with ingesting multiple magnets; prompt and aggressive removal is necessary to minimize the risk of serious illness or death, even in asymptomatic patients.
References
- Lee SK, Beck NS, Kim HH. Mischievous magnets: unexpected health hazard in children. J Pediatr Surg. 1996;31(12):1694-1695. doi:10.1016/s0022-3468(96)90053-6 PubMed | Crossref | Google Scholar
- Verma S, Shinde S, Gupta CR. Multiple magnet ingestion: An uncommon cause of peritonitis. J Indian Assoc Pediatr Surg. 2013;18(4):160-161. doi:10.4103/0971-9261.121126 PubMed | Crossref | Google Scholar
- Naji H, Isacson D, Svensson JF, Wester T. Bowel injuries caused by ingestion of multiple magnets in children: a growing hazard. Pediatr Surg Int. 2012;28(4):367-374. doi:10.1007/s00383-011-3026-x PubMed | Crossref | Google Scholar
- Hussain SZ, Bousvaros A, Gilger M, et al. Management of ingested magnets in children. J Pediatr Gastroenterol Nutr. 2012;55(3):239-242. doi:10.1097/MPG.0b013e3182687be0 PubMed | Crossref | Google Scholar
- Robinson AJ, Bingham J, Thompson RL. Magnet induced perforated appendicitis and ileo-caecal fistula formation. Ulster Med J. 2009;78(1):4-6. Magnet induced perforated appendicitis and ileo-caecal fistula formation – PMC
- Lin A, Chan LCN, Hon KLE, et al. Magnetic Foreign Body Ingestion in Children: The Attractive Hazards. Case Rep Pediatr. 2019;2019:3549242. doi:10.1155/2019/3549242 PubMed | Crossref | Google Scholar
- Alfonzo MJ, Baum CR. Magnetic Foreign Body Ingestions. Pediatr Emerg Care. 2016;32(10):698-702. doi:10.1097/PEC.0000000000000927 PubMed | Crossref | Google Scholar
- Shalaby MS. How dangerous a toy can be? The magnetic effect. Arch Dis Child. 2015;100(11):1049-1050. doi:10.1136/archdischild-2014-307756 PubMed | Crossref | Google Scholar
Acknowledgments
Not reported
Funding
Not reported
Author Information
Corresponding Author:
Pradyumna Pan
Department of Pediatric Surgery
Pediatric Surgery Unit, Ashish Hospital, Jabalpur, Madhya Pradesh
Email: dr_pan@rediffmail.com
Co-Author:
Ritika Pan
Department of Clinical Directorate
Max Healthcare, Gurgaon, Haryana
Authors Contributions
All authors contributed to the conceptualization, investigation, and data curation by acquiring and critically reviewing the selected articles. They were collectively involved in the writing – original draft preparation, and writing – review & editing to refine the manuscript. Additionally, all authors participated in the supervision of the work, ensuring accuracy and completeness. The final manuscript was approved by all named authors for submission to the journal.
Informed Consent
An informed consent form was obtained from patients.
Conflict of Interest Statement
Not reported
Guarantor
None
DOI
Cite this Article
Pradyumna P, Ritika P. Multiple Magnet Ingestion as a Source of Severe Gastrointestinal Complications Requiring Surgical Intervention. medtigo J Med. 2024;2(4):e30622443. doi:10.63096/medtigo30622443 Crossref

