Author Affiliations
Abstract
Bullous pemphigoid (BP) is an autoimmune disorder characterized by subepidermal blistering primarily in elderly individuals. The condition results from autoantibodies directed against hemidesmosomal proteins. Although BP has numerous triggers, such as medications, infections, and vaccinations, occurrences following simultaneous pneumococcal and coronavirus disease 2019 (COVID-19) vaccinations are rarely reported. We report a case of a 63-year-old man with hypertension and type II diabetes who developed bullous pemphigoid shortly after receiving both pneumococcal and COVID-19 vaccinations. The patient presented with widespread tense blisters on his trunk, back, and limbs, associated with systemic inflammatory symptoms. Notably, mucosal surfaces were unaffected. Skin biopsy and histopathology confirmed the diagnosis of bullous pemphigoid. The patient received supportive management and improved sufficiently for discharge; however, he did not return for follow-up. This case emphasizes a possible temporal link between simultaneous vaccinations and the subsequent onset of BP. Potential underlying mechanisms might include immune system activation, epitope spreading, or molecular mimicry, leading to autoantibody generation. The patient’s comorbid conditions, including diabetes and hypertension, might have also contributed to his immune dysregulation and susceptibility to autoimmune disease. The clinical scenario presented highlights the necessity for clinicians to maintain awareness of potential autoimmune dermatological reactions following vaccination, particularly in elderly populations who are more vulnerable. This case highlights a potential temporal link between concurrent vaccination and Bullous pemphigoid onset. While causality cannot be confirmed, clinicians should consider autoimmune blistering eruptions post-vaccination in elderly patients.
Keywords
Bullous pemphigoid, Coronavirus disease 2019 vaccination, Pneumococcal vaccine, Immunodermatology, Dermatological reactions.
Introduction
Bullous pemphigoid is a chronic, autoimmune blistering skin disorder marked by tense, resilient blisters typically affecting older adults.[1] The pathogenesis involves IgG antibodies directed against hemidesmosome components, particularly BP180, resulting in subepidermal separation. Increasing incidence rates over recent decades may relate to demographic aging, medication triggers, and improved diagnosis methods.[2] Unlike pemphigus vulgaris, BP typically spares the oral mucosa.
BP is the most prevalent autoimmune blistering disease, especially among patients aged 60 or older. Global disease prevalence varies, with annual incidence rates ranging from 2.2 to 23 cases per million, significantly rising to 190-312 per million individuals aged 80 years or older.[3,4] The disease affects both sexes equally, highlighting the need for increased recognition due to its substantial morbidity and mortality.
Bullous pemphigoid is mediated through a type II hypersensitivity mechanism involving antibodies against hemidesmosome proteins. Genetic predispositions, particularly within Human leukocyte antigen (HLA) class II alleles like HLA-DQB1*03:01, increase susceptibility across diverse populations.[5] Environmental triggers, including medications, burns, surgical interventions, ultraviolet exposure, and infections, can induce or worsen the disease.[6]
BP typically follows a chronic relapsing course, with significant morbidity. Mortality, which ranges from 11% to 48% within one year of diagnosis, often arises from complications of treatment, infections, or sepsis. Infection-specific standardized mortality ratio significantly increases in these patients, suggesting that infection is a mediator in the association between BP and death. A series of studies were performed to see the risk involved. In this series, generalized bullous pemphigoid had a poor prognosis, especially in older patients and those in poor general condition.[7] Patients with BP are also at higher risk for neurological diseases such as dementia, Parkinson’s, and stroke. Immunofluorescence demonstrating linear IgG deposition along the basement membrane zone confirms the diagnosis. Treatment often involves systemic or topical corticosteroids or alternative agents like doxycycline combined with nicotinamide.[8]
Case Presentation
A 63-year-old male with a history of hypertension and type II diabetes was transferred for evaluation of suspected pemphigus vulgaris or Stevens-Johnson syndrome after presenting with a severe blistering rash and systemic signs consistent with sepsis. He reported symptoms beginning four days earlier, initially manifesting as painful, itchy blisters primarily on his trunk that expanded to involve his extremities. The patient had no recent changes in medications, although he had received pneumococcal and COVID-19 vaccinations approximately ten days prior.
Dermatology consultation revealed tense bullae filled with serous fluid across the chest, extremities, and buttocks without mucosal involvement. Nikolsky’s sign was negative. Laboratory findings revealed neutropenia, hyperglycaemia, acute kidney injury, and elevated inflammatory markers (Table 1). Skin biopsy findings confirmed BP. The patient’s hospital stay was otherwise uneventful, and he was discharged home four days later but did not return for further evaluation.
| Laboratory | Value | Reference range |
| Complete blood count (CBC) | ||
| Hemoglobin (Hgb) | 12.4 | 14.6-17.8 g/dL |
| Hematocrit (Hct) | 36.7 (L) | 40.8-51.9% |
| White blood cell count (WBC) | 16.05 (H) | (3.2–10.6)x10E9 |
| Comprehensive metabolic panel (CMP) | ||
| Sodium | 129 L | 135–145 mEq/L |
| Potassium | 6.1 H | 3.5–5.1 mEq/L |
| Chloride | 99 | 95–111 mEq/L |
| Glucose | 439 H | 70-100 mg/dL |
| Albumin | 3.19 L | 3.2-5.5 g/dL |
| Calcium | 7.8 L | 8.5–10.3 mg/dL |
| Total protein | 5.6 L | 6.2–8.3 g/dL |
| Liver function test | ||
| Aspartate transaminase (AST) | <10 | 0-50 IU/L |
| Alanine transaminase (ALT) | 12 | 0-55 IU/L |
| Kidney function | ||
| Blood urea nitrogen (BUN) | 54 (H) | 7–25 mg/dL |
| Creatinine | 2.10 (H) | 0.6–1.2 mg/dL |
| Inflammatory markers | ||
| C-reactive protein (CRP) | 10.8 (H) | <10 mg/dL |
| Lactic acid | 2.4(H) | 0.5-2.2 |
Table 1: Laboratory results on admission

Figure 1: Tense, fluid-filled bullae coalescing into plaques on the lower left extremity. Diffuse brown papules coalescing into plaques are present in this distribution as well

Figure 2: Bullae present diffusely across the abdomen, along with numerous hyperpigmented patches and plaques

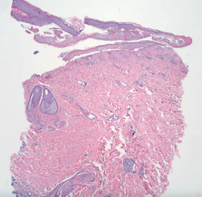
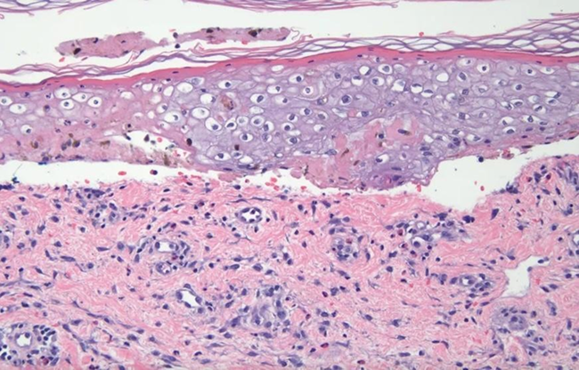
Figure 3: Denuded bisected punch biopsy of skin, which includes the superficial aspect of the subcutaneous tissue on H&E stain. There is a detached epidermal portion, which shows partial epidermal necrosis

Figure 4: Possible cytoid bodies noted in the detached epidermis

Figure 5: Superficial lymphoid infiltrate with prominent eosinophils. In the deep dermis, there is a blood vessel that has perivascular fibrin deposition with a sparse inflammatory infiltrate
Discussion
BP is an autoimmune blistering disorder that arises due to immune dysregulation, particularly involving CD4+ T-cell recognition of hemidesmosomal antigens such as BP180 and BP230. This immune recognition initiates a complex inflammatory cascade that leads to the production of autoantibodies targeting the basement membrane zone. The resulting immune attack causes subepidermal blister formation, characteristic of BP.
Recent literature highlights associations between BP and Th17-mediated inflammation, alongside diminished regulatory T-cell activity, which suggests that pro-inflammatory cytokines like IL-17 may contribute to tissue damage and chronic inflammation [9]. Concurrently, reduced function or numbers of regulatory T cells (Tregs) have been observed, indicating a breakdown in the immune system’s ability to maintain tolerance. This imbalance between effector and regulatory mechanisms may play a key role in initiating or perpetuating autoimmunity in susceptible individuals. These underlying mechanisms provide a plausible explanation for the onset of BP in temporal association with vaccination, wherein immune stimulation may act as a trigger in predisposed hosts.
In this context, the patient’s comorbid conditions—specifically hypertension and diabetes mellitus—are particularly relevant. Both conditions are associated with chronic low-grade inflammation and impaired immune regulation, factors that can contribute to a heightened autoimmune response. Individuals with such comorbidities may exhibit increased baseline immune activation, potentially lowering the threshold for autoimmune disease initiation following immune system challenges such as vaccination.
Although bullous pemphigoid has been reported following various immunizations, including influenza vaccines, its occurrence following COVID-19 vaccination has gained attention due to the widespread administration of these vaccines and the novel mechanisms of immune stimulation they employ.[10] The spike protein targeted by these vaccines may exhibit molecular mimicry with self-antigens, leading to unintended immune cross-reactivity. Such mimicry could contribute to the generation of autoantibodies in genetically or immunologically predisposed individuals.
In our patient, the close temporal proximity between vaccination and symptom onset raises concern for a possible causal relationship. Importantly, the co-administration of both pneumococcal and COVID-19 vaccines may have had a synergistic effect, enhancing the overall immune activation and inflammatory milieu. This amplified response could potentially tip the balance toward autoimmunity, particularly in elderly patients with multiple risk factors.
Given the increasing frequency of adult and elderly vaccinations, it is essential for clinicians to maintain a high index of suspicion for autoimmune dermatologic conditions such as BP in the post-vaccination setting. Early recognition and intervention are critical to mitigating disease severity and improving patient outcomes. While causality cannot be definitively established based on temporal association alone, accumulating clinical experience suggests that post-vaccination autoimmunity, though rare, is a real and significant phenomenon that warrants further exploration and awareness.[11]
Conclusion
We present one of the initial cases associating BP with simultaneous pneumococcal and COVID-19 vaccinations. Existing reports mainly describe influenza or COVID-19 vaccine-related BP. Our case underlines the importance of recognizing potential autoimmune dermatological reactions post-vaccination, particularly in vulnerable older patients with underlying conditions.
References
- Akbarialiabad H, Schmidt E, Patsatsi A, et al. Bullous pemphigoid. Nat Rev Dis Primers. 2025;11(1):12. doi:10.1038/s41572-025-00595-5
PubMed | Crossref | Google Scholar - Miyamoto D, Santi CG, Aoki V, Maruta CW. Bullous pemphigoid. An Bras Dermatol. 2019;94(2):133-146. doi:10.1590/abd1806-4841.20199007
PubMed | Crossref | Google Scholar - Persson MSM, Begum N, Grainge MJ, Harman KE, Grindlay D, Gran S. The global incidence of bullous pemphigoid: a systematic review and meta-analysis. Br J Dermatol. 2022;186(3):414-425. doi:10.1111/bjd.20743
PubMed | Crossref | Google Scholar - Kridin K, Ludwig RJ. The Growing Incidence of Bullous Pemphigoid: Overview and Potential Explanations. Front Med (Lausanne). 2018;5:220. doi:10.3389/fmed.2018.00220
PubMed | Crossref | Google Scholar - Zhang J, Wang G. Genetic predisposition to bullous pemphigoid. J Dermatol Sci. 2020;100(2):86-91. doi:10.1016/j.jdermsci.2020.05.010
PubMed | Crossref | Google Scholar - Moro F, Fania L, Sinagra JLM, Salemme A, Di Zenzo G. Bullous Pemphigoid: Trigger and Predisposing Factors. Biomolecules. 2020;10(10):1432.. doi:10.3390/biom10101432
PubMed | Crossref | Google Scholar - Roujeau JC, Lok C, Bastuji-Garin S, Mhalla S, Enginger V, Bernard P. High risk of death in elderly patients with extensive bullous pemphigoid. Arch Dermatol. 1998;134(4):465-469. doi:10.1001/archderm.134.4.465
PubMed | Crossref | Google Scholar - Williams HC, Wojnarowska F, Kirtschig G, et al. Doxycycline versus prednisolone as an initial treatment strategy for bullous pemphigoid: a pragmatic, non-inferiority, randomised controlled trial. Lancet. 2017;389(10079):1630-1638. doi:10.1016/S0140-6736(17)30560-3
PubMed | Crossref | Google Scholar - Arakawa M, Dainichi T, Ishii N, et al. Lesional Th17 cells and regulatory T cells in bullous pemphigoid. Exp Dermatol. 2011;20(12):1022-1024. doi:10.1111/j.1600-0625.2011.01378.x
PubMed | Crossref | Google Scholar - García-Doval I, Rosón E, Feal C, De la Torre C, Rodríguez T, Cruces MJ. Generalized bullous fixed drug eruption after influenza vaccination, simulating bullous pemphigoid. Acta Derm Venereol. 2001;81(6):450-451. doi:10.1080/000155501317208534
PubMed | Crossref | Google Scholar - Wang Y, Mao X, Wang Y, et al. Relapse of bullous pemphigoid: an update on this stubborn clinical problem. Ann Med. 2018;50(3):234-239. doi:10.1080/07853890.2018.1443346
PubMed | Crossref | Google Scholar
Acknowledgments
None
Funding
No financial disclosure
Author Information
Corresponding Author:
Miriam Michael
Department of Internal Medicine
Howard University, Washington, DC, USA
Email: michaelclarkefamily@gmail.com
Co-Authors:
Shanae Henry, Ugonna Nwannunu, Nima Karodeh, Jordan Young
School of Medicine
Howard University, Washington, DC, USA
Sair Ahmad Tabraiz, Elizabeth Beyene, Samrawit Zinabu, Huda Gasmelseed, Mekdem Bisrat
Department of Internal Medicine
Howard University, Washington, DC, USA
Geeta Ahuja
Department of Dermatology
Howard University, Washington, DC, USA
Authors Contributions
Shanae Henry, Ugonna Nwannunu, Nima Karodeh, and Jordan Young were involved in conceptualization and drafting the manuscript. Sair Ahmad Tabraiz, Elizabeth Beyene, Samrawit Zinabu, Huda Gasmelseed, and Mekdem Bisrat contributed to data analysis, methodology, and writing the discussion section. Geeta Ahuja was involved in conceptualization, writing the discussion, and final drafting of the manuscript. Miriam Michael was responsible for final editing and overall supervision.
Informed Consent
Verbal consent was given by the patient.
Conflict of Interest Statement
The authors declare no conflict of interest.
Guarantor
None

